在线咨询
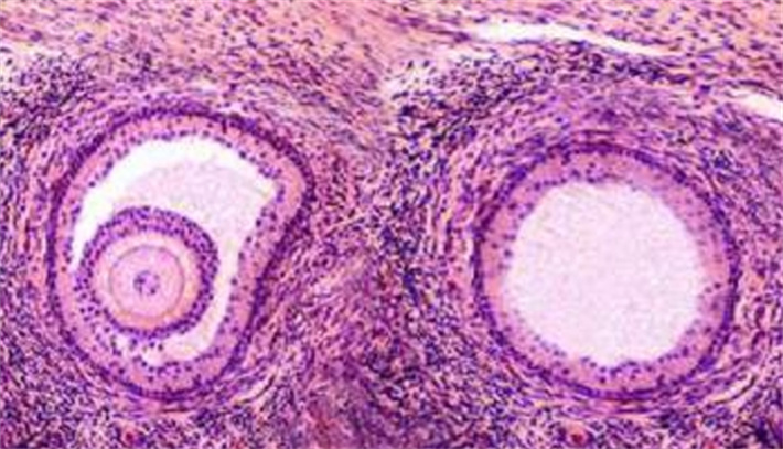
美国试管婴儿:卵泡的成熟度可分为哪几种?
在完成取卵后,美国HRC-Fertility生殖医疗中心专家会立即对获取的卵子进行细致的观察与分类,依据卵母细胞外围颗粒膜细胞的丰富饱满程度,可将其分为G1、G2、G3三个主要等级以及一种特殊的D级变异卵。

1、G1级卵子
此类卵子的卵母细胞外围颗粒膜细胞非常饱满,在试管过程中,有着较高的成功率,其胞质均匀透亮,颗粒膜细胞完整率>85%,可为后续的受精与胚胎发育奠定坚实基础。

2、G2级卵子
此类卵子属于中等偏上水平,卵母细胞外围的颗粒膜细胞较饱满,虽比G1级稍逊一筹,但依然有着不错的发育潜力,细胞完整率处于60-85%之间,在试管周期中,也能发挥重要作用,有75%的概率可受精发育。
3、G3级卵子
相比前两者,此类卵子稍显逊色,其卵母细胞外围的颗粒膜细胞稀疏,为未成熟卵的可能性较高,细胞完整率<60%,胞质中可能会出现明显的空泡或碎片,这意味着它在后续的受精过程中可能会面临更多挑战,发育成优质胚胎的难度也相对较大。

4、D级卵子
作为变异卵,这类卵子在试管操作中是不能被使用的,其无法参与后续的受精及胚胎培育环节,可直接被判定为不可用。
除了上述基于颗粒膜细胞的分级方式,根据卵母细胞自身的成熟度,也就是减数分裂和排出第1极体的情况,又可将卵子分为GV、MI、MII三种类型。
1、GV卵(空卵)

从外观上看,将颗粒膜细胞去掉后可以看到明显的核。在自然排卵周期里,月经第八天时卵子便开始进入GV期。但GV期的卵子无法受精,就像没有活性的种子,在试管助孕过程中无法被利用。
2、MI卵(未成熟卵)
MI卵指的是那些已进入第1次减数分裂中期,但尚未排出第1极体的卵母细胞。其颗粒细胞扩散较差,就像发育不良的幼苗。尽管MI卵理论上具备受精的可能性,但实际由此产生的胚胎往往品质不佳,会导致试管移植的成功率降低。

3、MII卵(成熟卵)
当卵母细胞进入第2次减数分裂中期,并成功排出第1极体时,就成为了MII卵。此时在透明带下方的卵周隙内,可以清晰地看到一个微小的第1极体,这是卵子成熟的显著标志。MII卵能够与精子顺利结合,并在受精过程中排出第2极体,进而发育成为受精卵,是试管中理想的卵子类型。
卵泡成熟度对试管的深远影响:
HRC专家表示,成熟度不同的卵泡,在后续的受精、胚胎发育以及试管成功率等方面,都有着显著的差异。

对于G1级卵子而言,因其卵母细胞外围颗粒膜细胞饱满,胞质均匀透亮,可为受精提供优质的基础。在与精子结合时,能更顺利地完成受精过程,形成的受精卵也有着更高的几率发育成高质量的胚胎。这些胚胎在移植到母体子宫后,有着较强的着床能力和发育潜力,可大大提升试管的成功率。此外,在试管周期中,G2级卵子也是常见的可用卵子类型之一。通过HRC专家的精心培育和处理,许多G2级卵子也能成功受精,并发育成健康的胚胎。不过,G3级卵子会面临着诸多挑战。稀疏的颗粒膜细胞,意味着其可能存在未成熟的情况,胞质中出现的空泡或碎片,更是会对后续的受精和胚胎发育产生不利影响。这类卵子在受精过程中,往往易出现受精失败、胚胎发育停滞等问题。即使勉强受精,发育成的胚胎质量也难以保证,在移植后着床失败的风险较高。
从GV、MI、MII的分类角度来看,GV卵基本没有作用,MI卵受精后形成的胚胎品质欠佳,也基本不可用。只有MII卵,作为成熟卵,能够与精子顺利结合并发育成受精卵,是试管成功的关键所在。
提升卵泡成熟度的实用攻略——营养素补充

叶酸,作为一种对卵子发育和成熟有着不可替代作用的营养素,能够降低卵子染色体异常的风险,从而提高受精卵的质量。因此,HRC专家建议女性在备孕期间,补充适量的叶酸,同时搭配其他多种维生素,以满足身体对营养的全面需求。

辅酶Q10也是提升卵泡质量的“得力助手”。它能够增加卵泡中线粒体的数量、改善线粒体的质量。当卵泡中线粒体数量增加且质量改善时,卵子的能量水平就可得到提升,会使其更有潜力发育成为优质的卵子。